
Odontología Conservadora en Villanueva de la Cañada
En Clínica Dental Estévez cuidamos de tu sonrisa apostando por una odontología basada en la prevención y conservación. Nuestro objetivo es mantener tus dientes naturales sanos y funcionales durante el mayor tiempo posible, evitando tratamientos más invasivos en el futuro.
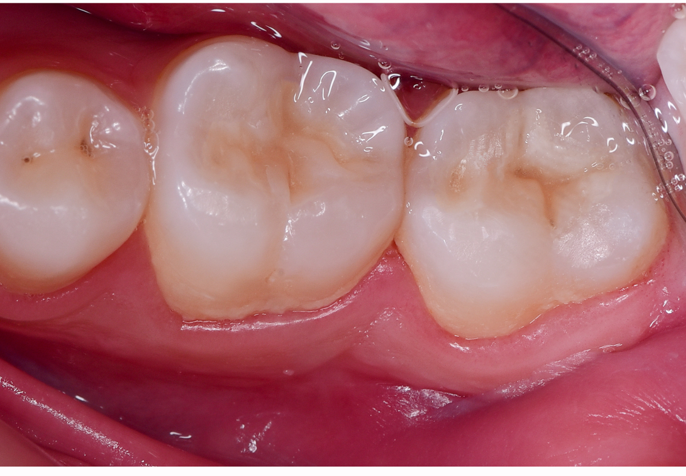
La odontología conservadora se centra en tratar las caries, fracturas o desgastes dentales con técnicas precisas y materiales estéticos de última generación que respetan la estructura original del diente. Gracias a ello, conseguimos restauraciones duraderas, naturales y seguras.
Cada paciente recibe un tratamiento personalizado, adaptado a sus necesidades y al estado de su salud bucodental. Creemos que la mejor sonrisa es aquella que se mantiene sana desde la base, por eso trabajamos con un enfoque preventivo que combina experiencia, innovación y cercanía.
Confía en nuestro equipo para cuidar tus dientes con la máxima calidad y compromiso. Porque conservar tu sonrisa natural… es nuestra mejor especialidad.